Success Stories
Mary
There are many times people have asked me why I decided on dentistry as a career choice. Without one moment of hesitation, I would describe it as not only a passion, but a calling. Having practiced for nearly 18 years, I have been able to see and be a part of many major transformations in people’s lives. The impact of a beautiful smile certainly cannot be underestimated.
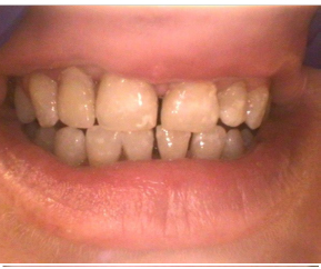
As all of us in the profession know, we often find patients in dire need of dental care without the resources to properly achieve oral health. Mary Ladowski was such a patient for me. Mary was referred to me for her dental care by her mother. At that time Mary was actively trying to obtain a job with little success. Due to her limited finances and dietary habits, her dental condition was in decline. She presented with rampant dental caries, traumatic occlusion, missing teeth and tetracycline staining. Mary had been unaware of how much her diet and oral hygiene had an impact on the condition of her teeth. She was clearly headed toward the early loss of all of her natural teeth if left untreated. At any age this is unacceptable, but even more so at 41 years of age.


Mary’s smile was always beaming from the heart, not her mouth. She struggle’s to live independently and was very worried about any expenses as she could budget only for monthly necessities. In search of a way that I could help Mary restore her dentition comprehensively and have a greater confidence in her smile, I found the website for Smiles for Success. I was so excited with the possibility of finding an organization that would partner with me to complete Mary’s extensive dental needs. The day I told her mother she had been accepted into the program, we both wept…..then I got to work!
Mary was initially counseled on the importance of oral hygiene, improving her diet, and limiting the intake of carbonated beverages. She demonstrated great improvement with her oral hygiene on each appointment and was very motivated. A personal consultation with my dental lab technician, Linda Raveane, CDT, allowed Mary to take an active role choosing her new smile. To date, multiple root canals, Empress crowns and a bridge have been placed with much work left to be completed.



Mary now smiles brightly with her new teeth every morning at her job in a popular restaurant. She takes great pride in everything she does and is often asked to work overtime. All of us are very grateful for the opportunity to work with an incredible organization like Smiles for Success.
“How wonderful it is that nobody need wait for a single moment to improve the world” -Anne Frank

Lisa
Dear Smiles for Success,
When I started my technical program, I knew my teeth had some decay and I had lost one of my front teeth. It really lowered my self-esteem. I used to be noticed for my smile. Now, I found myself manipulating my smile to cover my teeth. I was really embarrassed. I went for my first job interview in January. The lady I had that interview with was also my case worker. I did not get that job, however that interview has changed my life. My case worker mentioned that maybe I would be interested in receiving some dental work before I really starting looking for long-term employment. I hadn’t had a job that offered dental insurance, so it had been many years since I had even sat in a dentist’s chair. I was ecstatic to say the least. She told me about the program and I didn’t waste a minute on starting the application process.
I remember the day that I received the phone call that Smiles For Success had found a dentist willing to do the work. They gave me her name and number and this was the beginning of a very blessed and fortunate journey for me. The first phone call to Dr. Mary Martin’s office was so warm and welcoming. I was so thrilled and I hadn’t even had my first appointment. When I did show up for that first appointment, I was an emotional wreck. I was frightened, I mean who isn’t a little scared of a dentist, relieved that I was finally going to receive some much needed work, and anxious to find out what the game plan was going to be. Dr. Mary Martin is a very caring and loving individual. Her staff is right alongside her, they all make you feel so very welcomed. She reassured me from the start that I was in great hands and if I ever had an issue with anything, to not hesitate to say something.
I started noticing a difference in my smile within the first month. I was so happy. I was slowly starting to feel better about my smile. I was showing more confidence. I was in an internship as I was receiving the work. My coworkers knew about my situation and were the ones to point out how I was changing physically and emotionally. That felt great. I finished that internship and went back to technical school to start my job search portion of my program. The reaction I received from my instructors and colleagues there said it all. They were just amazed at my transformation. They mainly noticed my confidence. They said I was just glowing with pride.
This program is so wonderful. I hope that there are more women who get to experience what I have. Receiving this dental work has drastically changed my life. Our appearance is a big deal in all aspects of our lives, especially when you are looking for employment. I know without this program, I would not have the job I now love. It has excelled my life in so many ways. I have had several unfortunate events in my life and this helped me forget about all that for a while. I actually felt almost like a celebrity receiving the royal treatment. I don’t think I will ever to be able to repay what I have been given. I only try to pay it forward and help others. I really try my hardest to be an advocate for this program. I always offer the resource to my friends who I think can benefit from it. I am truly blessed to have this come in my life. I want to end this by saying, “Thank you, Thank you Smiles for Success. Thank you to all the people who keep it running. Thank you to all the people who fund this program. And most of all, Thank you Dr. Mary Martin and all her staff. You guys will always be in my heart.”
Lisa



Vanita
Dear Smiles for Success, Goodwill had sent me to Dress for Success to get proper clothing for job interviews. While I was there the lady had referred me to Smiles for Success. I received a telephone interview and they gave my case to Dr. Ann Marie Olson. I never thought there were such good people in the world but I was proven wrong, thank goodness. Other than my family this was another blessing in my life. Thanks again and thanks for sharing your hearts!! Everyone has been so awesome!!! There is a third blessing my life and that’s the Lord put you in my life. I thank him each and every day for that. I want to thank everyone that has given me a great smile again…. Vanita Bietsch

April
Treated by: Dr. Rattan

Chalora
Dear Alexandra, Dr. Hakala, and Smiles for Success, I’ve never had perfect teeth but once I began to use drugs my teeth progressively began to deteriorate. During that time of my life I honestly never realized what effects drugs were having on my teeth and on my health. Once I made the decision to stay sober, that’s when my mouth started hurting. My teeth started breaking and I started getting cavities and abscesses in my jaw. I was so self conscious about talking to people let alone smiling, I was not sure if I had bad breath or if it was noticeable that my teeth were horrible. I was in so much pain and when I started looking for help, everyone wanted amounts of money that was way out of my reach. I started to lose hope until my boss at the Women’s Bean Project filed a grant for me. Smiles For Success accepted me in their program and have changed my life. I am more confident today and saving money on doctor bills because my health has gotten much better. I now have the confidence to interview for jobs. Today I am complimented on my beautiful smile and my gorgeous teeth and I give all thanks to Smiles For Success. Thanks again, Chalora

Denise
Treated by: Dr. Berg

Karla
Dr. Berg and her staff were very friendly. They treated me as though I were a long time patient from the very first visit. They made me feel at home and Dr. Berg was very informative during the consultation visit and let me know what would be done throughout the course of my treatment. Her staff never made me feel like some ‘Charity Case.’ I am so grateful to them for giving me back my smile. I probably didn’t have to have as much work as some patients do, but the stains on my front teeth really made me self-conscious about my smile. Dr. Berg explained that it was from too much fluoride in the water where I grew up and that there was a solution to the problem. I didn’t realize how good my smile looked until she gave me the mirror during my last appointment. I looked at my teeth under that bright dentist light. Wow! It’s amazing what a great smile will do for your self-esteem and it makes people smiles back at you and that feels good too! Thanks Dr. Berg, Jennifer, Mallory and Nina for giving me back a great smile! Karla Casey

Linda
Dear Smiles for Success, I applied for this program as a graduate of Women’s Empowerment, a program that works with homeless women to return to work or school. My health was really a barrier to my reaching my goals of employment and my own housing. I tried to participate as a volunteer receptionist in the Women’s Empowerment employment training program, but I kept having terrible migraine headaches because of an exposed nerve and untreated dental issues. I applied and was put in touch with Dr. Chin through the Sacramento District Dental Society and the Smiles for Success Foundation. The office staff really made me feel like a human being. With the help from the Smiles for Success program, I had 3 root canals, a deep gum cleaning and 2 partials. I really have a full smile now and I am proud to show it. I finally felt safe enough to address my issues at Women’s Empowerment and the Smiles for Success program really helped make my dreams come true. I now have a full-time job and receive health benefits, so I can continue to take good care of my health. Sincerely, Linda Strohmyer

Shannon
First, I would like to thank the Smiles for Success program, Dr. Berg, and her staff. I am extremely appreciative for everything that they have done for me. I have feared not being able to get a good job due to my dental appearance, and no I don’t have to worry about that. When I enrolled in the TANF program, I was lucky enough to be placed in a program called HIRE. The staff was wonderful and suggested I apply for the Smiles program since I had dental issues, but didn’t want to just have all my teeth pulled. Since I have had my teeth fixed, quite a bit of my life has changed, and for the better. Everybody treats a person better when their teeth look better. My self confidence has risen tremendously and my outlook has done a complete 180° turn. Thank you! Shannon

Kimberly
Treated by: Dr. Berg

